膀胱壁局部增厚預測間質性膀胱炎治療預後和組織病理學

陳維心、張嘉峰、郭漢崇

花蓮慈濟醫院 泌尿科

Can the Focal Bladder Wall Thickness Predict Pathophysiology and Treatment Outcome in the Patients with Ulcer and Non-Ulcer Type Interstitial Cystitis?

Wei-Hsin Chen, Jis-Fong Jhang, Hann-Chorng Kuo

                             Department of Urology, Hualien Tzu Chi Hospital, Hualien, Taiwan

Purpose

The study is designed to investigate the BWT  of IC/BPS patients with different phenotypes and the association between BWT and clinical characteristics.

Materials and Methods

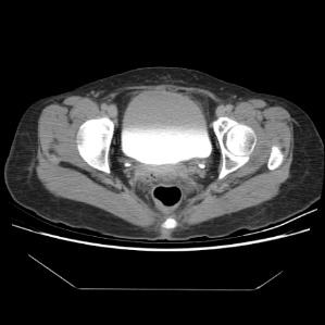
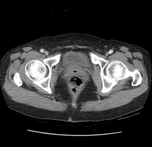
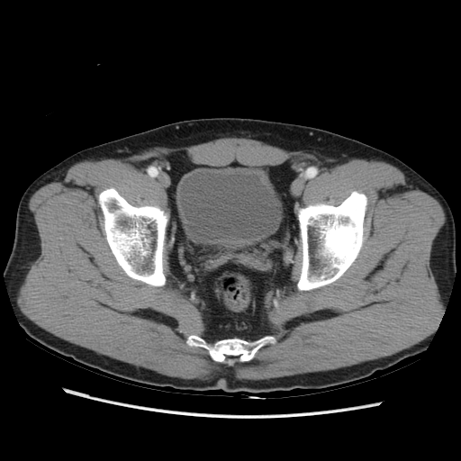
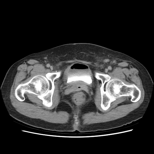
One hundred consecutive IC patients were investigated by symptom score, urodynamic study, cystoscopic hydrodistention, and bladder CT study. The BWT is divided into smooth (n=49), focal thickness (n=15), and diffuse thickness (n=36) subtypes, which are demonstrated in Figure 1.

Results

About eighty-seven percent of patients with diffuse BWT and 11% of patients with focal BWT have Hunner’s lesion, while no patients with smooth bladder wall have Hanner’s lesion (p<0.0001). Patients with focal thickness and diffuse thickness have significantly higher ICSI scores than those with smooth BWT (12.9±3.9 and 16.7±3.4 v.s. 11.9±4, p=0.001). Patients with diffuse BWT have significantly decreased first sensation of filling (FSF), first sensation (FS), and a smaller cystometric bladder capacity (CBC) and voided volume compared with those with focal and smooth BWT.

Patients with focal and diffuse BWT have significantly higher grades of glomerulation after hydrodistention (p=0.006). Patients with focal and diffuse BWT have smaller maximal bladder capacity (MBC) than those with smooth BWT (646.4± 175.9 and 496.7 ± 226.4 v.s. 808.4 ± 223.5, p<0.0001). In terms of pathophysiology, patients with focal and diffuse BWT have significantly higher severity in uroepithelium cell denudation than those with smooth BWT (p=0.005). About forty-seven percent of patients with diffuse BWT and 20% of patients with focal BWT have granulation tissue, while only 8.9% of patients with smooth bladder wall have granulation tissue (p=0.005).

Conclusions

Focal and diffuse BWT is associated with higher grade glomerulation, smaller MBC, and Hunner’s lesion, as well as UDS storage parameters (FSF, FS, CBC, volume) and clinical symptoms (ICSI). The thickness of the bladder wall under CT is related to the histopathology finding (uroepithelium cell denudation and granulation tissue formation). Focal or diffuse BWT might indicate chronic inflammation in the bladder wall and urothelium. Treatment focused on the thick bladder wall portion might effectively eradicate chronic inflammation and improve IC conditions.

Figure 1. Subtypes of BWT demostrated on CT

    位置
    資料夾名稱
    摘要
    上傳者
    TUA人資客服組
    單位
    台灣泌尿科醫學會
    建立
    2021-05-20 17:03:22
    最近修訂
    2021-05-20 17:11:05
    1. 1.
      Podium
    2. 2.
      Moderated Poster
    3. 3.
      Non-Discussion Poster