#0829

Hybrid Approach for Post-Renal Transplant Mycotic Pseudoaneurysm: A case study

P. Chun1, Y. Lin2, C. Kao1, M. Yang1, C. Tsao1, E. Meng1, G. Sun1, D. Yu1, S. Wu1, C. Chen1

1Tri-Service General Hospital, National Defense Medical Center, Division of Urology, Department of Surgery, Taipei, Taiwan
2Tri-Service General Hospital, National Defense Medical Center, Division of Cardiovascular Surgery, Department of Surgery, Taipei, Taiwan

Introduction:

Post-transplant anastomotic pseudoaneurysms are a rare but serious complication following renal transplantation, typically leading to graft sacrifice. This case report demonstrates a novel hybrid approach for managing a mycotic pseudoaneurysm while preserving graft function.

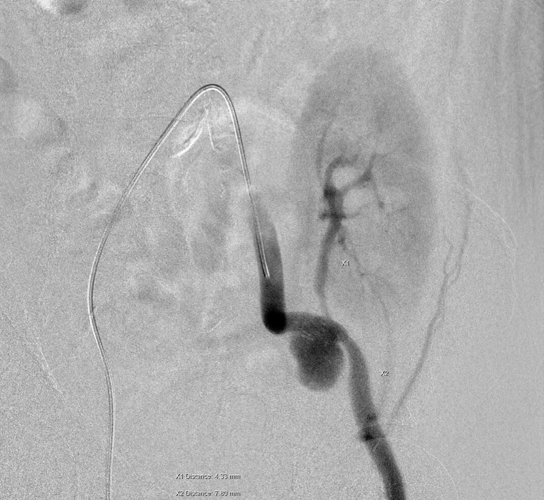
Material and methods:

A 56-year-old male with end-stage renal disease who began hemodialysis in 2020 and underwent a cadaveric kidney transplant (right kidney to left iliac fossa) on 5 December 2023 developed a pseudoaneurysm at the anastomotic site on the left external iliac artery (EIA). This was complicated by recurrent urinary tract infection, blood stream infection, and declining renal function, with serum creatinine increasing to 4.8 mg/dL in April 2024. A duplex ultrasound identified a mass lesion, confirmed by angiography (Figure 1) as a pseudoaneurysm at the EIA anastomosis. A hybrid strategy was implemented, combining a femoral–femoral bypass using an 8 mm Geotex polytetrafluoroethylene (PTFE) graft. This was followed by percutaneous transluminal angioplasty with stenting of the graft renal artery and the EIA using covered 6.0 × 50 mm and 8.0 × 50 mm Viabahn stents to exclude inflow to the pseudoaneurysm. Finally, coil embolization of the left pseudoaneurysm and left common iliac artery was performed.

Results:

The intervention successfully isolated the pseudoaneurysm and preserved graft function. Post-procedure, the patient's serum creatinine levels improved from 4.8 mg/dL to 1.9 mg/dL at one week and stabilized at 2.3 mg/dL at the 6-month follow-up. Imaging confirmed no residual flow in the aneurysm (Figure 2), and no vascular complications were observed during the follow-up period.


    位置
    資料夾名稱
    摘要
    上傳者
    TUA線上教育_家琳
    單位
    台灣泌尿科醫學會
    建立
    2026-04-24 18:59:41
    最近修訂
    2026-04-24 18:59:50
    更多