#1102

Deciphering Cystitis Cystica: Clinical Behavior, Radiological Features and New Management Algorithm

T. G A1, N. Aggarwal1, M. Kumar1, A. Seth1

1AIIMS, New Delhi, Urology, New Delhi, India

Introduction:

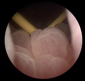
Cystitis cystica et glandularis (CCEG) is a rare hyperproliferative lesion of the bladder mucosa resulting from chronic inflammation or obstruction. It is marked by glandular metaplasia of transitional cells, leading to a cystic appearance due to the proliferation of Von Brunn islets, which cause invagination of the transitional epithelium into the lamina propria. Imaging characteristics are nonspecific and resemble those of a bladder mass. Cystoscopic findings typically show bullous edematous lesions or papillary lesions with gelatinous surfaces, often affecting the trigone area. The involvement of the trigonal region can complicate the identification of ureteric orifices, posing a risk of resection-related injury. Our goal is to highlight the clinical behavior, radiological and cystoscopic features, and propose a management algorithm to minimize deterioration of renal function.

Material and methods:

Results:

45 patients were included, 95% were men, with mean age of 35 years. Most common presenting feature was lower urinary tract symptoms (90%), with hematuria (30%), flank pain in 10%. Seventy percent patients had uppertract changes. Imaging findings are consistent with bladder mass and cannot distinguish cystitis cystica from carcinoma of bladder. Thirty percent of patients had recurrence of lesions with average time to recurrence being 13 months. Ten percent of patients underwent ureteric reimplant.


    位置
    資料夾名稱
    摘要
    上傳者
    TUA線上教育_家琳
    單位
    台灣泌尿科醫學會
    建立
    2026-04-24 19:12:28
    最近修訂
    2026-04-24 19:12:41
    更多